Lanzarote registra su primer caso de la viruela del mono Hasta ahora hay 134 casos confirmados, de los que 82 se detectaron en Gran Canaria, 46 en Tenerife, cuatro en Fuerteventura, uno en La Palma y otro… biosferamedia
Tres casos sospechosos en estudio de la viruela del mono en Lanzarote Desde el inicio de la alerta, Canarias contabiliza 118 positivos y once casos en estudio, de los que cinco son probables y seis sospechosos biosferamedia
Canarias llega al centenar de casos de la viruela del mono, ninguno detectado en Lanzarote Todos los casos activos están teniendo sintomatología leve y permanecen en aislamiento domiciliario recibiendo seguimiento por parte de Atención… biosferadigital
Cuatro nuevos casos de viruela del mono Desde el inicio de la alerta, Canarias registra 45 positivos y cinco en estudio, de los que cuatro casos son probables y uno sospechoso biosferamedia
Nuevo caso de viruela del mono Desde el inicio de la alerta, Canarias registra 41 positivos y dos en estudio, de los que un caso es probable y otro sospechoso biosferamedia
Caso sospechoso de viruela del mono en Lanzarote Desde el inicio de la alerta, Canarias registra 20 positivos y siete en estudio, de los que cuatro son casos probables y tres sospechosos biosferamedia
Tres casos positivos de viruela del mono Desde el inicio de la alerta, Canarias registra 20 positivos (en Gran Canaria y Tenerife) y siete en estudio, de los que tres son casos… biosferamedia
Más casos probables de viruela del mono En total, y desde el inicio de la alerta, Canarias registra 17 positivos y ocho en estudio, de los que cuatro son casos probables y cuatro… biosferamedia
Sanidad detecta el primer sospechoso de la viruela del mono en Lanzarote De los cinco nuevos casos en estudio notificados, uno ha sido catalogado como probable en Gran Canaria, y los otros cuatro como sospechosos,… biosferamedia
Otros posibles casos de la viruela del mono Desde el inicio de la alerta, Canarias registra 16 positivos, 10 negativos y cinco en estudio, de los que tres son casos probables y dos sospechosos biosferamedia
Sanidad registra 1.091 nuevos casos de COVID-19 y estudia siete de viruela del mono Actualmente, en el Archipiélago hay 240 personas ingresadas con coronavirus, de las que 18 están en UCI y 222 en planta biosferadigital
Sanidad registra dos positivos y seis nuevos casos para estudio de viruela del mono Desde el inicio de la alerta, Canarias registra seis positivos, y 10 en estudio, de los que seis son casos probables y cuatro sospechosos. biosferadigital
Sanidad registra otros dos positivos y notifica tres nuevos casos para estudio de viruela del mono En total, y desde el inicio de la alerta, Canarias registra cuatro positivos, y siete en estudio, de los que cuatro son casos probables y tres… biosferadigital
Sanidad registra otro positivo y notifica tres nuevos casos para estudio de viruela del mono En total, y desde el inicio de la alerta, Canarias registra dos positivos, cuatro casos probables y tres sospechosos biosferadigital
Sanidad confirma un caso de viruela del mono en Gran Canaria y notifica cuatro nuevos en estudio En el día de hoy se enviarán al Centro Nacional de Microbiología las muestras de cuatro personas de los cuales tres se han catalogado como probables… biosferadigital
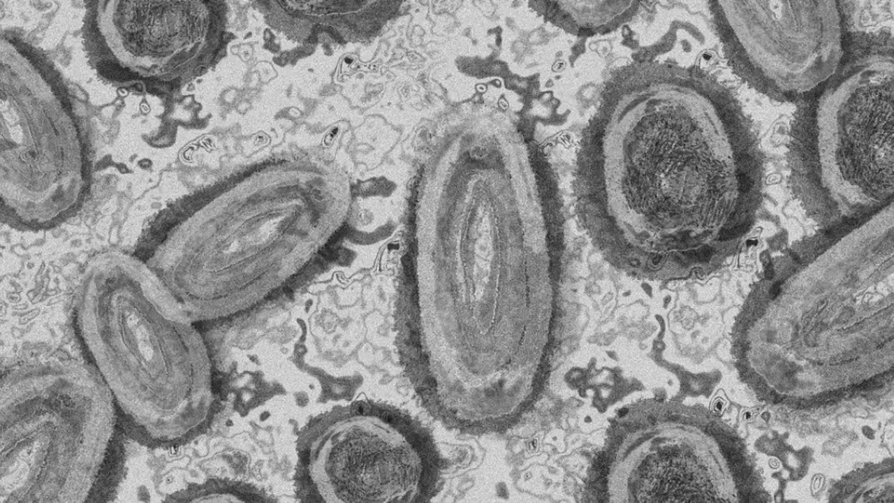
Se va la covid y llega la viruela del mono: Lanzarote, expectante ante la aparición de casos Las personas contagiadas o que estén en investigación tendrán que aislarse, mientras que sus contactos no deberán hacer cuarentena pero sí reducir… biosferadigital
Sanidad notifica un caso de sospecha de viruela del mono en Gran Canaria Se trata de varón joven que no está hospitalizado y presentó los síntomas característicos de esta patología, con fiebre y lesiones dérmicas biosferadigital